
Brainsight TUS Navigation is the world's leading neuronavigation system. Brainsight TUS Navigation brings together the world-leading Brainsight Neuronavigation platform and the NeuroFUS PRO transcranial ultrasound stimulation system to deliver accurate, repeatable, and deep neuromodulation using low-intensity, pulsed ultrasound. Designed for advanced neuroscience research, Brainsight TUS Navigation enables precise targeting of cortical and subcortical structures with greater spatial resolution and depth than traditional non-invasive brain stimulation methods.

Brainsight TUS Navigation
Brainsight TUS Navigation
Brainsight TUS Navigation is a neuronavigation solution designed for transcranial focused ultrasound stimulation (TUS) research. When paired with the NeuroFUS PRO TUS device, researchers can target specific brain regions based on individual MRI scans, 3D reconstructions, or MNI templates. The NeuroFUS PRO delivers low-intensity, pulsed ultrasound with exceptional spatial precision, adjustable focal depth, and multi-element steering. Brainsight provides real-time feedback on transducer position and orientation, making accurate ultrasound delivery consistent across sessions and operators. The system’s intuitive software environment makes it easy to design stimulation protocols, co-register images, configure overlays, and navigate complex experimental setups within minutes.
Intuitive Workflows in Brainsight TUS Navigation
Brainsight allows researchers to identify ultrasound targets manually or via multimodal imaging - MRI, fMRI, EEG, NIRS, PET, CT, or functional overlays.
The interface displays real-time feedback on:
- Transducer position
- Trajectory (pitch, roll, yaw)
- Distance to target
- Orientation and alignment
This precision is crucial for ultrasound neuromodulation where sub-millimetre targeting accuracy is needed. Brainsight also digitises EEG electrodes, supports sequence files (e.g., BESA), and enables MRI–EEG coordinate co-registration for multimodal or hybrid studies.
Flexible Targeting in Brainsight TUS Navigation
Users can select stimulation targets based on:
- Anatomy
- Talairach or MNI space
- fMRI, EEG, PET, NIRS or other imaging overlays
- Previously recorded ultrasound trajectories
This flexibility enables repeatable stimulation across visits and subjects.
Is Brainsight TUS Navigation right for me?
Researchers requiring precise, repeatable, and deep neuromodulation will benefit from TUS navigation.
Brainsight TUS Navigation tracks the NeuroFUS PRO transducer in 3D space, guides placement using high-resolution MRI data, ensures stable targeting during short or long protocols and enables reliable return to the same target for longitudinal designs.
Combined with ultrasound steering via NeuroFUS PRO, the system provides unmatched targeting accuracy in non-invasive neuromodulation.
Expand all
Collapse all
UNIVERSAL COMPATIBILITY
Brainsight TUS Navigation supports all NeuroFUS transducers through dedicated tracking adapters. Brainsight accepts a wide variety of imaging formats including: DICOM, MINC, Analyse, NIfTI, PAR/REC, Siemens .ima, and BrainVoyager.

INTUITIVE WORKFLOW
Create complete ultrasound navigation projects in minutes with custom registration landmarks, optional coordinate-space registration, multimodal overlays, step-by-step workflow pages.

FLEXIBLE TARGETING
Identify targets through anatomy, functional overlays, standard coordinates, or previously recorded trajectories.

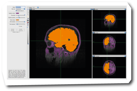
REGION PAINTING TOOLS
The new functionality enables users to paint custom regions within the Brainsight 3D reconstruction environment to highlight targeted brain structures. Painted masks can be exported in NIfTI format for compatibility with other software tools.

SEAMLESS INTEGRATION
Brainsight provides real-time visualisation of ultrasound targeting and integrates fully with NeuroFUS PRO for unified control and precision-guided stimulation.

|
Tracking method |
Optical (infrared) position sensor |
|---|---|
|
Tracking tools |
Subject tracker |
|
Supported file formats |
DICOM, Analyse, NifTI, PAR/REC, MINC, BrainVoyager |
|
MNI & Talairach coregistration |
Using: MINC xdm files, SPM matrix, manual registration tool |
|
Automatic 3D reconstructions |
Full brain curvilinear |
|
Overlays |
MRI, CT, EEG, fMRI, NIRS, PET, functional maps |
|
Transducer compatibility |
Universal (via custom tracking adapters) |
|
Ultrasound Integration |
Fully compatible with NeuroFUS PRO axial-steering ultrasound system |
- Unilateral online ultrasound stimulation of early visual cortex suppresses responses to contralateral visual stimuli. Dunsford, S., Murphy, K., Darrieutort, E., Fouragnan, E., & Ganis, G. (2026). Brain Stimulation: Basic, Translational, and Clinical Research in Neuromodulation, 19(2).
- Transcranial Ultrasound Stimulation of Internal Globus Pallidus Region and Motor Cortex in Parkinson’s Disease. Lin, Y.-Y., Raies, N., Grippe, T., Gunraj, C. A., Sarica, C., Saha, U. K., Bhattacharya, A., Darmani, G., & Chen, R. (2026). Movement Disorders, 41(2), 416–425.
- Tremor reduction using multi-focus transcranial ultrasound stimulation system targeting the thalamus. Shrestha, S., Coreas, A., Adeoti, J., Peacock, G., Swytink-Binnema, C. A., Sheth, N., Arantes, A., Rockel, C. P., Martino, D., Pike, G. B., Kiss, Z. H. T., & Pichardo, S. (2026). Brain Stimulation: Basic, Translational, and Clinical Research in Neuromodulation, 19(1).
- Individualized non-invasive deep brain stimulation of the basal ganglia using transcranial ultrasound stimulation. Darmani, G., Ramezanpour, H., Sarica, C., Annirood, R., Grippe, T., Nankoo, J.-F., Fomenko, A., Santyr, B., Zeng, K., Vetkas, A., Samuel, N., Davidson, B., Fasano, A., Lankarany, M., Kalia, S. K., Pichardo, S., Lozano, A. M., & Chen, R. (2025). Nature Communications, 16(1), 2693.
- Optimization of MR acoustic radiation force imaging (MR-ARFI) for human transcranial focused ultrasound. Mohammadjavadi, M., Ash, R. T., Glover, G. H., & Pauly, K. B. (2025). Magnetic Resonance in Medicine, 94(3), 1060–1071.
- Reversible modulation of a deep white matter surgical target for depression with low-intensity focused ultrasound. Tsuchiyagaito, A., Kuplicki, R., Misaki, M., Edwards, L., Camprodon, J. A., Fitzgerald, K., Khalsa, S. S., Philip, N. S., Paulus, M. P., & Guinjoan, S. M. (2025). Neuropsychopharmacology: Official Publication of the American College of Neuropsychopharmacology.
- Non-invasive ultrasonic neuromodulation of the human nucleus accumbens impacts reward sensitivity. Yaakub, S. N., Eraifej, J., Bault, N., Lojkiewiez, M., Bellec, E., Roberts, J., Philip, N. S., Divanbeighi Zand, A. P., Green, A. L., Rushworth, M. F. S., & Fouragnan, E. F. (2025). Nature Communications, 16(1), 10192.
- A frontopolar-temporal circuit determines the impact of social information in macaque decision making. Mahmoodi, A., Harbison, C., Bongioanni, A., Emberton, A., Roumazeilles, L., Sallet, J., Khalighinejad, N., & Rushworth, M. F. S. (2024). Neuron, 112(1), 84-92.e6.
- Characterization of the Targeting Accuracy of a Neuronavigation-Guided Transcranial FUS System In Vitro, In Vivo, and In Silico. Xu, L., Pacia, C. P., Gong, Y., Hu, Z., Chien, C.-Y., Yang, L., Gach, H. M., Hao, Y., Comron, H., Huang, J., Leuthardt, E. C., & Chen, H. (2023). IEEE Transactions on Biomedical Engineering, 70(5), 1528–1538.
- Transcranial focused ultrasound-mediated neurochemical and functional connectivity changes in deep cortical regions in humans. Yaakub, S. N., White, T. A., Roberts, J., Martin, E., Verhagen, L., Stagg, C. J., Hall, S., & Fouragnan, E. F. (2023). Nature Communications, 14(1), 5318.
- Transcranial ultrasound stimulation to human middle temporal complex improves visual motion detection and modulates electrophysiological responses. Butler, C. R., Rhodes, E., Blackmore, J., Cheng, X., Peach, R. L., Veldsman, M., Sheerin, F., & Cleveland, R. O. (2022). Brain Stimulation, 15(5), 1236–1245.
- Neuronavigated Repetitive Transcranial Ultrasound Stimulation Induces Long-Lasting and Reversible Effects on Oculomotor Performance in Non-human Primates. Pouget, P., Frey, S., Ahnine, H., Attali, D., Claron, J., Constans, C., Aubry, J.-F., & Arcizet, F. (2020). Frontiers in Physiology, 11.
- Manipulation of Subcortical and Deep Cortical Activity in the Primate Brain Using Transcranial Focused Ultrasound Stimulation. Folloni, D., Verhagen, L., Mars, R. B., Fouragnan, E., Constans, C., Aubry, J.-F., Rushworth, M. F. S., & Sallet, J. (2019). Neuron, 101(6), 1109-1116.e5.
- Transcranial ultrasonic stimulation modulates single-neuron discharge in macaques performing an antisaccade task. Wattiez, N., Constans, C., Deffieux, T., Daye, P. M., Tanter, M., Aubry, J.-F., & Pouget, P. (2017). Brain Stimulation: Basic, Translational, and Clinical Research in Neuromodulation, 10(6), 1024–1031.
Compatible Products
This product can be used in combination with some of our other systems. Find out more by selecting one from the list below.
- DuoMAG MP
- DuoMAG MP-Dual
- DuoMAG MP-Quad
- DuoMAG XT
- Elevate TMS (cTMS)
- nurostym tES
- neuroConn DC-Stimulator PLUS
- NeuroFUS 3D
- Gowerlabs LUMO fNIRS
- Axilum TMS-Robot
- Axilum TMS-Cobot
- neuroConn DC-Stimulator MC
- NeuroFUS PRO
- MAG4Health 4He OPM-MEG System
- TruScan Research EEG
- NEURO PRAX DC-EEG
- k-Plan Ultrasound Planning
- neuroConn LOOP-IT
Associated Techniques
To find out more about the techniques that are applicable to this product, follow the links below.
Added Value
In addition to supplying and supporting a wide range of neuroscience products, Brainbox offers additional value in a number of areas that can benefit our customers, including:
Training
Installation, Product Training, Technique Training, Bespoke Training
Lab Support
System Upgrades, Testing, Calibration, System Integration, Bespoke Solutions
Research Support
Study Design, Piloting, Technical Information, References
Collaboration
Grant Applications, Industrial Projects, Workshops




